江汉区新华路265号北湖公交站长江证券旁
洪山区珞喻路718号春和天地1楼(珞喻路鲁巷公交站旁)
武昌区武珞路449号(亚朵酒店旁)
汉阳区龙阳大道58号汉阳人信汇A座
关山大道332号保利广场5F
武汉市硚口区古田二路地铁C出口
武汉市武昌区徐东路中力名居(徐东地铁站B出口)
江岸区中山大道1505号企业天地1号18楼(黄浦路地铁站旁)
洪山区文治街30号维佳·佰港城2F
东西湖区常青花园中路131号汇和城二楼(常青花园地铁站B1出口)
江岸区后湖大道新荣天街3楼(新荣站F出口)
适应症:
种植牙技术:
热点阅读:
适应症:
矫正技术:
热点阅读:
牙齿问题:烤瓷牙修复失败
病例情况:顾客因上门牙牙缝过大影响面部美观,在别家进行了烤瓷牙修复。修复之后,顾客的上门牙牙龈出现了红肿和疼痛的情况,牙齿对冷热的刺激也特别敏感,为了不让这种情况给自己的生活和工作造成严重的影响,顾客经过多方的对比和慎重选择,来到了爱齿尔口腔就诊。
诊疗方案:
爱齿尔口腔医生为顾客的牙齿进行了检查,并拍摄了口腔CT片,发现顾客除了牙龈红肿之外,里面的牙体也出现发黑和炎症,需要将原先的烤瓷牙拆除,进行治疗后,再进行烤瓷牙重置。
修复方式:烤瓷牙重置

修复前:牙龈出现红肿,烤瓷牙牙体通透性不够,破坏了牙齿整体美观。

拆除烤瓷牙:牙龈和牙体出现发黑情况,带有炎症

临时牙过度

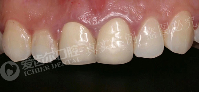
修复后

修复前后对比
修复后回访:
经过再次修复后,顾客的牙齿也恢复了整齐洁白,和正常的牙齿一模一样。三个月后苏先生再次复查,牙齿使用一切正常,牙龈也没有出现红肿不适现象,顾客表示,感谢爱齿尔医生精湛的技术,让自己的牙齿重获健康。