江汉区新华路265号北湖公交站长江证券旁
洪山区珞喻路718号春和天地1楼(珞喻路鲁巷公交站旁)
武昌区武珞路449号(亚朵酒店旁)
汉阳区龙阳大道58号汉阳人信汇A座
关山大道332号保利广场5F
武汉市硚口区古田二路地铁C出口
武汉市武昌区徐东路中力名居(徐东地铁站B出口)
江岸区中山大道1505号企业天地1号18楼(黄浦路地铁站旁)
洪山区文治街30号维佳·佰港城2F
东西湖区常青花园中路131号汇和城二楼(常青花园地铁站B1出口)
江岸区后湖大道新荣天街3楼(新荣站F出口)
适应症:
种植牙技术:
热点阅读:
适应症:
矫正技术:
热点阅读:
两颗门牙不太整齐,左侧邻牙过小且缝隙明显,但牙周情况良好,针对顾客的牙症和要求,胡贵之主任为顾客量身制定了一套瓷贴面修复方...
主诉: 右上第一磨牙缺失2年要求种植修复 现病史: 顾客诉右上第一磨牙缺失,给生活带来不便,今来诊 医生诊断: 顾客右上第一磨牙缺...
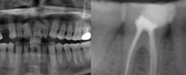
爱齿尔主任根管治疗重度龋齿案例,右侧后牙疼痛一周,做根管治疗后疼痛消失,且患牙保留……...
爱齿尔口腔嵇强院长瓷贴面修复门牙牙缝过大案例,顾客上前牙缝隙过大及牙体形态不美观,选择爱齿尔口腔瓷贴面修复,一小时后牙齿变...
所属类别:根尖周囊肿 主治医生:杨金桥主任 顾客22岁,因牙龈肿痛流脓来我院寻求解决方法。 案例回顾 顾客是一位22岁的女性,3年前右...
顾客22岁,在校大学生,通过网络预约就诊;半年前和同学邀约一起溜冰,一不小心导致两颗门牙意外折断,在武汉爱齿尔口腔选择了烤瓷牙...