美牙热线:400-0809-333
    当前位置:首页 > 关于爱齿尔 > 爱齿尔案例 > 矫正案例 >
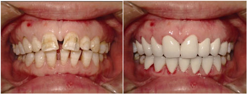
牙列间隙矫正前后对比
来源:武汉爱齿尔口腔 更新时间:2012-06-04 09:10 点击:
详情咨询

 

牙列间隙氟斑牙 美牙冠 矫正修复前后对比

年龄:45岁

 

检查:通过德国sirona全景数字化曲面影像诊断系统、3D数码定位系统对方先生的口腔进行全面细致的检查, 检查显示的检查显示方先生存在牙列间隙、氟牙症并伴有牙龈出血,X片显示根尖无异常

 

美牙方案:先对牙齿进行彻底的清洁和治疗,待到炎症消失,再结合肤色、脸型,通过VITA比色技术以及数码定位系统对牙齿进行检测,选定德国美牙冠美牙方案。

 

美牙后:牙齿整齐洁白,氟斑牙得到治疗。

 

美牙技术:德国美牙冠

温馨提示:当文章不能完全解决您的问题时,请点击在线咨询与武汉爱齿尔口腔客服一对一交流!打字不方便的朋友可拔打我院24小时免费咨询热线:027-85555999,与专业口腔医生进行语音交流。
    武汉爱齿尔口腔以专业的心,做专业的事!现在进行网上预约,享受“优惠活动”,不用排队,节省您的时间和精力!
下一篇:前牙不齐矫正前后 上一篇:没有了