
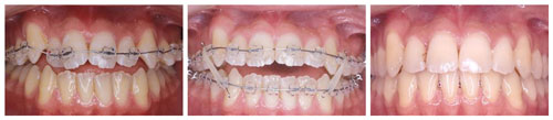
虎牙、牙齿前突 MBT直丝弓正畸 前后对比
年龄:21岁
职业:学生
牙症:虎牙前突,牙齿拥挤
检查:门牙受挤压往内歪斜,虎牙外凸,有开颌症状,X片显示根尖无异常
美牙方案:通过口腔数码内窥镜,精确定位,调整牙间隙,运用MBT直丝弓正畸技术、透明陶瓷托槽来矫正牙齿
美牙后:牙齿排列整齐,门牙和虎牙复位,咬合正常
美牙技术:MBT直丝弓透明陶瓷托槽正畸
美牙时间:2年
虎牙伴随牙齿拥挤的症状在牙科临床医学上非常常见,因其虎牙牙根深大,其生长常常受到压迫的阻碍而向前延伸,因此长有虎牙的人多半都伴有牙齿拥挤症状。21岁的他在来爱齿尔就诊时说,他从小就有咬舌头的习惯,这便是造成牙齿前突、开合畸形一个很重要的原因。所以家长们应该密切关注孩子们牙齿的生长发育,提前矫正,以免错过牙齿矫正的黄金时期,但是对于21岁的他来说,他的牙齿还是可以矫正的,而且运用有别于传统的“铁齿铜牙”透明托槽来正畸,无论是在美观度还是舒适度上来说都另患者轻松很多。
经过武汉爱齿尔口腔MBT直丝弓透明陶瓷正畸技术治疗2年,顾客牙齿的牙列恢复了正常,变得十分整齐,也没了之前的开颌畸形症状。
