
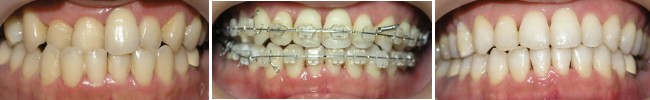
前牙错咬美国Ormco正畸前后对比
年龄:17岁
职业:学生
牙症:牙列不齐,咬合错位
检查:上前牙排列不齐,门牙出现咬合错位,X片显示根尖无异常
美牙方案:通过口腔数码内窥镜,精确定位,调整牙间隙,运用美国Ormco自锁冰晶托槽来达到快速、稳固、美观的正畸效果
美牙后:牙齿排列整齐,上下牙咬合正常
美牙技术:美国Ormco自锁冰晶托槽正畸
美牙时间:1年半
17岁的他在两年前因为牙齿咬合错位的关系来到武汉爱齿尔口腔做了牙齿矫正,其实他的牙齿不算特别的不齐,但是上前门牙咬合出现了错位,严重影响了饮食和发音。当时的她正在上初中,那时的她一开始对牙齿矫正非常反感,觉得戴上牙套在同学面前很失面子,可在妈妈的再三劝说下做了牙齿矫正。
爱齿尔医生考虑到顾客求美的心理,建议他做Ormco自锁冰晶托槽正畸,由于这种托槽区别于以往的“铁齿铜牙”,在美观度上有大大的改进,因而顾客欣然接受了这种正畸方法。而这种方法最大的优势还是在于其自锁自动装置比一般的托槽更加稳固,也更加适合还是学生的他,让她在运动时也丝毫不会担心牙套受到剧烈震动是否会脱落。其透明冰晶托槽也更为隐形,也不会刺激牙龈,造成牙龈敏感等,对学习生活没有任何影响。
经过顾客和武汉爱齿尔口腔一年半的努力,他的牙齿终于恢复了正常,现在的她特别感谢她的妈妈,让她可以自信的笑,快乐的学习生活。
