美牙热线:400-0809-333
    当前位置:首页 > 关于爱齿尔 > 爱齿尔案例 > 矫正案例 >
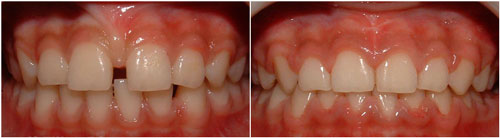
儿童门牙间隙矫正前后对比
来源:武汉爱齿尔口腔 更新时间:2012-03-24 15:38 点击:
详情咨询

年龄:12岁

 

职业:学生

 

检查:门牙缺缝较大,影响发音,下前牙也有稍小的缝隙,X片显示根尖无异常。 

 

美牙方案:通过口腔数码内窥镜,精确定位,调整牙间隙,运用MBT直丝弓正畸技术来矫正牙齿 

 

美牙后:牙齿排列整齐,没有间隙

 

美牙技术:MBT直丝弓正畸

 

美牙时间:1年

温馨提示:当文章不能完全解决您的问题时,请点击在线咨询与武汉爱齿尔口腔客服一对一交流!打字不方便的朋友可拔打我院24小时免费咨询热线:027-85555999,与专业口腔医生进行语音交流。
    武汉爱齿尔口腔以专业的心,做专业的事!现在进行网上预约,享受“优惠活动”,不用排队,节省您的时间和精力!