美牙热线:400-0809-333
    当前位置:首页 > 关于爱齿尔 > 爱齿尔案例 > 矫正案例 >
地包天隐形正畸案例
来源:武汉爱齿尔口腔 更新时间:2013-02-03 15:37 点击:
详情咨询

  看的见的效果,看不见的牙套!
 
  基本信息:26岁,小学教师,因地包天就诊
 
  地包天隐形正畸案例
 
  顾客主述:1、小时候存在地包天的现象,家里人没有引起足够的重视,长大后影响了面部的发育和美观,很想通过矫正来纠正地包天,恢复面部美观,改善侧貌。
 
  2、由于现在是一名小学教师,由于职业的特殊性,不太适合佩戴钢丝牙套,想通过一种比较美观、不易察觉的方式来实现牙齿矫治过程。
 
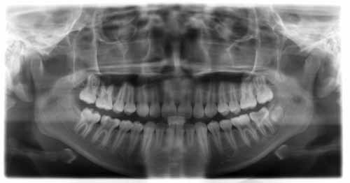
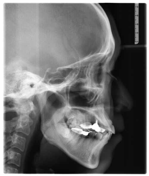
  临床诊断:经过数字化全景机的拍片检查,顾客属于牙性地包天,且存在上牙拥挤错位,侧貌突,下颌前倾,X片显示根尖无异常。由于顾客的职业特殊性,可选择天使隐形正畸,在旁人无法擦觉的情况下完成整个矫正过程,顾客对此方案表示愿意接受,并十分期待矫正后的效果。
 
  矫正前
 
  全景机侧位片
 
  全景机正位片
 
 
  取牙颌模型
 
  电脑制作隐形矫治器
 
  顾客量齿定制的隐形矫治器
 
  矫正中
 
  矫正后
 
  矫正前的侧面照
 
  矫正后的侧面照
 
  案例回访:经过21个月的矫治历程,顾客的牙齿反颌解除,面中部丰满,侧貌形态改善,上下牙列关系正常,最终效果令她十分满意。作为一名教师,顾客终于可以自信地投身到她热衷的事业中去了!
 

温馨提示:当文章不能完全解决您的问题时,请点击在线咨询与武汉爱齿尔口腔客服一对一交流!打字不方便的朋友可拔打我院24小时免费咨询热线:027-85555999,与专业口腔医生进行语音交流。
    武汉爱齿尔口腔以专业的心,做专业的事!现在进行网上预约,享受“优惠活动”,不用排队,节省您的时间和精力!