
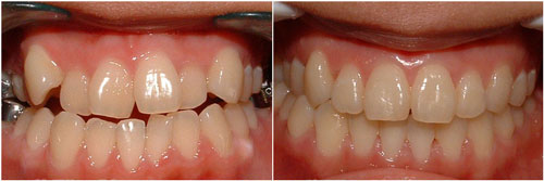
虎牙前突、牙列拥挤 天使隐形矫正前后对比
年龄:33岁
职业:大学老师
检查:虎牙前突,牙齿拥挤,上下牙间隙较大,X片显示根尖无异常
美牙方案:通过口腔数码内窥镜,精确定位,调整牙间隙,运用天使隐形矫正来矫正牙齿
美牙后: 牙齿排列整齐,上下牙间隙消失
美牙技术:天使隐形矫正
矫正时间:1年半
顾客是一名大学英语教师,其外貌和学识样样出众,只是牙齿不怎么整齐,而在英语教学时又要常常开口与学生进行交流沟通,令特别在意别人看法的林老师十分苦恼。一天林老师在食堂吃饭时碰到了一名班上的女同学,聊天时她发现这名女同学正在矫正牙齿,虽然带着牙套不太美观,但是林老师求美的心情非常迫切,于是决定也去把自己的牙齿矫正一下。
顾客是在那名女同学的介绍下来到武汉爱齿尔口腔的。爱齿尔医生在检查过林老师的牙齿状况,得知她的需求后,确定运用的天使隐形矫正来矫正林老师的牙齿。天使隐形矫正特别适合成年人和时尚爱美的上班族,由于天使隐形矫正运用的是透明的高科技分子矫治器,因此他人根本无法觉察,而且有别于传统的牙箍,口腔无异物感,携带方便,易清洗。
经过一年多的牙齿矫正,林老师的牙齿变得整齐洁白,上下牙的间隙也消失了,虽然有两颗虎牙,但这两颗虎牙很整齐,多了几分可爱。
